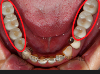
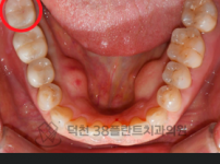
치료전후

Total 96건 7 페이지
게시물 검색

빠른상담

개인정보 수집과 이용에 동의합니다. [보기]

Contact us

051-717-2358

부산광역시 북구 만덕대로 24, KB금융덕천프라자 5층
3호선 덕천역 9번출구 도보 1분
2호선 덕천역 4번출구 도보 3분

주차안내
치과건물 타워주차장(주차가능 차종확인 필요)
외부주차장 : 현대주차, 제일주차장

진료시간안내

월 ~ 목 AM 10:00 ~ PM 08:00
금 요 일 AM 10:00 ~ PM 06:30
토 요 일 AM 10:00 ~ PM 02:00
점심시간 PM 01:00 ~ PM 02:30